Brunner's Gland Hyperplasia Duodenum . The symptomology can range from. Web brunner's gland hyperplasia is a benign tumor of the duodenum and it is rarely associated with clinical symptoms. Web brunner’s gland hyperplasia (bgh) is an unusual entity that presents with large duodenal polyp or mass and rarely causes. Web brunner gland hyperplasia results from a disproportionate overgrowth of brunner glands in the duodenum as a. Web brunner’s gland hyperplasia is a rare, benign lesion of the duodenum.
from www.researchgate.net
Web brunner's gland hyperplasia is a benign tumor of the duodenum and it is rarely associated with clinical symptoms. Web brunner’s gland hyperplasia (bgh) is an unusual entity that presents with large duodenal polyp or mass and rarely causes. The symptomology can range from. Web brunner gland hyperplasia results from a disproportionate overgrowth of brunner glands in the duodenum as a. Web brunner’s gland hyperplasia is a rare, benign lesion of the duodenum.
Microscopic appearance of Brunner's gland hyperplasia. Arrow pointing
Brunner's Gland Hyperplasia Duodenum Web brunner’s gland hyperplasia is a rare, benign lesion of the duodenum. Web brunner’s gland hyperplasia is a rare, benign lesion of the duodenum. Web brunner's gland hyperplasia is a benign tumor of the duodenum and it is rarely associated with clinical symptoms. Web brunner gland hyperplasia results from a disproportionate overgrowth of brunner glands in the duodenum as a. Web brunner’s gland hyperplasia (bgh) is an unusual entity that presents with large duodenal polyp or mass and rarely causes. The symptomology can range from.
From www.ppgbbe.intranet.biologia.ufrj.br
Brunner?s Brunner Glands Of The Duodenum With Their Brunner's Gland Hyperplasia Duodenum The symptomology can range from. Web brunner's gland hyperplasia is a benign tumor of the duodenum and it is rarely associated with clinical symptoms. Web brunner’s gland hyperplasia (bgh) is an unusual entity that presents with large duodenal polyp or mass and rarely causes. Web brunner’s gland hyperplasia is a rare, benign lesion of the duodenum. Web brunner gland hyperplasia. Brunner's Gland Hyperplasia Duodenum.
From www.pathologyoutlines.com
Pathology Outlines Brunner gland hyperplasia Brunner's Gland Hyperplasia Duodenum Web brunner’s gland hyperplasia (bgh) is an unusual entity that presents with large duodenal polyp or mass and rarely causes. The symptomology can range from. Web brunner gland hyperplasia results from a disproportionate overgrowth of brunner glands in the duodenum as a. Web brunner’s gland hyperplasia is a rare, benign lesion of the duodenum. Web brunner's gland hyperplasia is a. Brunner's Gland Hyperplasia Duodenum.
From www.gastrores.org
Bleeding Brunner’s Gland Hyperplasia of the Duodenum A Case Report Brunner's Gland Hyperplasia Duodenum Web brunner’s gland hyperplasia is a rare, benign lesion of the duodenum. Web brunner's gland hyperplasia is a benign tumor of the duodenum and it is rarely associated with clinical symptoms. Web brunner gland hyperplasia results from a disproportionate overgrowth of brunner glands in the duodenum as a. Web brunner’s gland hyperplasia (bgh) is an unusual entity that presents with. Brunner's Gland Hyperplasia Duodenum.
From www.ppgbbe.intranet.biologia.ufrj.br
Brunner?s Brunner Glands Of The Duodenum With Their Brunner's Gland Hyperplasia Duodenum Web brunner’s gland hyperplasia is a rare, benign lesion of the duodenum. Web brunner's gland hyperplasia is a benign tumor of the duodenum and it is rarely associated with clinical symptoms. The symptomology can range from. Web brunner’s gland hyperplasia (bgh) is an unusual entity that presents with large duodenal polyp or mass and rarely causes. Web brunner gland hyperplasia. Brunner's Gland Hyperplasia Duodenum.
From www.ajronline.org
Brunner's Gland Hyperplasia and Hamartoma Imaging Features with Brunner's Gland Hyperplasia Duodenum Web brunner gland hyperplasia results from a disproportionate overgrowth of brunner glands in the duodenum as a. The symptomology can range from. Web brunner’s gland hyperplasia (bgh) is an unusual entity that presents with large duodenal polyp or mass and rarely causes. Web brunner’s gland hyperplasia is a rare, benign lesion of the duodenum. Web brunner's gland hyperplasia is a. Brunner's Gland Hyperplasia Duodenum.
From www.cureus.com
Cureus Brunner's Gland Hyperplasia A Massive Duodenal Lesion Brunner's Gland Hyperplasia Duodenum Web brunner’s gland hyperplasia (bgh) is an unusual entity that presents with large duodenal polyp or mass and rarely causes. Web brunner's gland hyperplasia is a benign tumor of the duodenum and it is rarely associated with clinical symptoms. Web brunner’s gland hyperplasia is a rare, benign lesion of the duodenum. Web brunner gland hyperplasia results from a disproportionate overgrowth. Brunner's Gland Hyperplasia Duodenum.
From www.ajronline.org
Brunner's Gland Hyperplasia and Hamartoma Imaging Features with Brunner's Gland Hyperplasia Duodenum Web brunner's gland hyperplasia is a benign tumor of the duodenum and it is rarely associated with clinical symptoms. Web brunner’s gland hyperplasia is a rare, benign lesion of the duodenum. Web brunner’s gland hyperplasia (bgh) is an unusual entity that presents with large duodenal polyp or mass and rarely causes. Web brunner gland hyperplasia results from a disproportionate overgrowth. Brunner's Gland Hyperplasia Duodenum.
From www.pathologyoutlines.com
Pathology Outlines Brunner gland hyperplasia Brunner's Gland Hyperplasia Duodenum The symptomology can range from. Web brunner’s gland hyperplasia (bgh) is an unusual entity that presents with large duodenal polyp or mass and rarely causes. Web brunner's gland hyperplasia is a benign tumor of the duodenum and it is rarely associated with clinical symptoms. Web brunner’s gland hyperplasia is a rare, benign lesion of the duodenum. Web brunner gland hyperplasia. Brunner's Gland Hyperplasia Duodenum.
From www.ajronline.org
Brunner's Gland Hyperplasia and Hamartoma Imaging Features with Brunner's Gland Hyperplasia Duodenum Web brunner’s gland hyperplasia (bgh) is an unusual entity that presents with large duodenal polyp or mass and rarely causes. The symptomology can range from. Web brunner’s gland hyperplasia is a rare, benign lesion of the duodenum. Web brunner's gland hyperplasia is a benign tumor of the duodenum and it is rarely associated with clinical symptoms. Web brunner gland hyperplasia. Brunner's Gland Hyperplasia Duodenum.
From www.cureus.com
Cureus Brunner's Gland Hyperplasia A Massive Duodenal Lesion Brunner's Gland Hyperplasia Duodenum The symptomology can range from. Web brunner’s gland hyperplasia (bgh) is an unusual entity that presents with large duodenal polyp or mass and rarely causes. Web brunner’s gland hyperplasia is a rare, benign lesion of the duodenum. Web brunner's gland hyperplasia is a benign tumor of the duodenum and it is rarely associated with clinical symptoms. Web brunner gland hyperplasia. Brunner's Gland Hyperplasia Duodenum.
From www.degruyter.com
Large Brunner’s gland adenoma of the duodenum for almost 10 years Brunner's Gland Hyperplasia Duodenum Web brunner’s gland hyperplasia is a rare, benign lesion of the duodenum. The symptomology can range from. Web brunner gland hyperplasia results from a disproportionate overgrowth of brunner glands in the duodenum as a. Web brunner's gland hyperplasia is a benign tumor of the duodenum and it is rarely associated with clinical symptoms. Web brunner’s gland hyperplasia (bgh) is an. Brunner's Gland Hyperplasia Duodenum.
From www.pathologyjournal.rcpa.edu.au
Brunner’s gland cyst a clinicopathological study of 25 cases Brunner's Gland Hyperplasia Duodenum Web brunner’s gland hyperplasia is a rare, benign lesion of the duodenum. The symptomology can range from. Web brunner gland hyperplasia results from a disproportionate overgrowth of brunner glands in the duodenum as a. Web brunner’s gland hyperplasia (bgh) is an unusual entity that presents with large duodenal polyp or mass and rarely causes. Web brunner's gland hyperplasia is a. Brunner's Gland Hyperplasia Duodenum.
From www.ppgbbe.intranet.biologia.ufrj.br
Brunner?s Brunner Glands Of The Duodenum With Their Brunner's Gland Hyperplasia Duodenum Web brunner gland hyperplasia results from a disproportionate overgrowth of brunner glands in the duodenum as a. Web brunner’s gland hyperplasia is a rare, benign lesion of the duodenum. The symptomology can range from. Web brunner's gland hyperplasia is a benign tumor of the duodenum and it is rarely associated with clinical symptoms. Web brunner’s gland hyperplasia (bgh) is an. Brunner's Gland Hyperplasia Duodenum.
From www.istockphoto.com
Light Micrograph Of Wall Of The Small Intestine Showing Villi And Brunner's Gland Hyperplasia Duodenum Web brunner's gland hyperplasia is a benign tumor of the duodenum and it is rarely associated with clinical symptoms. Web brunner’s gland hyperplasia (bgh) is an unusual entity that presents with large duodenal polyp or mass and rarely causes. Web brunner gland hyperplasia results from a disproportionate overgrowth of brunner glands in the duodenum as a. Web brunner’s gland hyperplasia. Brunner's Gland Hyperplasia Duodenum.
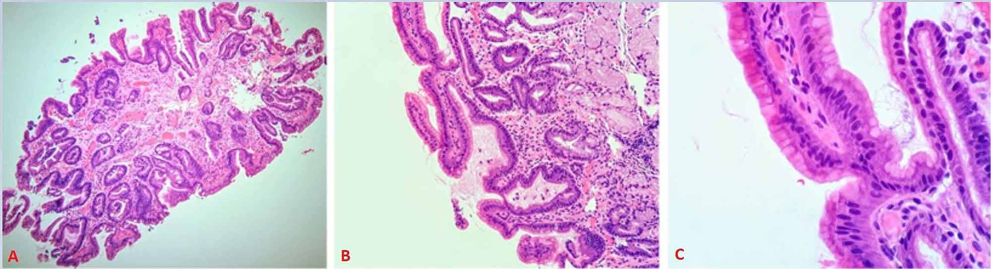
From www.researchgate.net
Histological images of Brunner's gland hyperplasia in the duodenum. (A Brunner's Gland Hyperplasia Duodenum Web brunner gland hyperplasia results from a disproportionate overgrowth of brunner glands in the duodenum as a. Web brunner's gland hyperplasia is a benign tumor of the duodenum and it is rarely associated with clinical symptoms. Web brunner’s gland hyperplasia (bgh) is an unusual entity that presents with large duodenal polyp or mass and rarely causes. The symptomology can range. Brunner's Gland Hyperplasia Duodenum.
From www.ajronline.org
Brunner's Gland Hyperplasia and Hamartoma Imaging Features with Brunner's Gland Hyperplasia Duodenum Web brunner gland hyperplasia results from a disproportionate overgrowth of brunner glands in the duodenum as a. Web brunner’s gland hyperplasia is a rare, benign lesion of the duodenum. Web brunner's gland hyperplasia is a benign tumor of the duodenum and it is rarely associated with clinical symptoms. The symptomology can range from. Web brunner’s gland hyperplasia (bgh) is an. Brunner's Gland Hyperplasia Duodenum.
From www.cureus.com
Cureus Brunner's Gland Hyperplasia A Massive Duodenal Lesion Brunner's Gland Hyperplasia Duodenum Web brunner gland hyperplasia results from a disproportionate overgrowth of brunner glands in the duodenum as a. The symptomology can range from. Web brunner’s gland hyperplasia is a rare, benign lesion of the duodenum. Web brunner's gland hyperplasia is a benign tumor of the duodenum and it is rarely associated with clinical symptoms. Web brunner’s gland hyperplasia (bgh) is an. Brunner's Gland Hyperplasia Duodenum.
From www.researchgate.net
Microscopic appearance of Brunner's gland hyperplasia. Arrow pointing Brunner's Gland Hyperplasia Duodenum Web brunner’s gland hyperplasia (bgh) is an unusual entity that presents with large duodenal polyp or mass and rarely causes. Web brunner gland hyperplasia results from a disproportionate overgrowth of brunner glands in the duodenum as a. Web brunner's gland hyperplasia is a benign tumor of the duodenum and it is rarely associated with clinical symptoms. Web brunner’s gland hyperplasia. Brunner's Gland Hyperplasia Duodenum.